Questions? 386-672-9440
Accepting New Patients

Success Stories

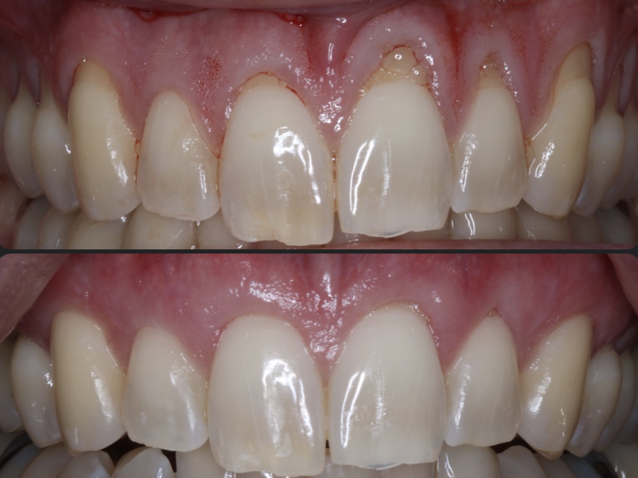
Mark presented to our office with the fear of losing his teeth as well as significant sensitivity and pain to drinking cold liquids. After finishing our exam with him, it was determined he had generalized gum recession that caused his issues. He had done some research online prior to coming into our office and had heard gum grafts can be quite painful and was not looking forward to having this done. We informed him of his options, including a minimally invasive, no sewing or stitching alternative known as the Pinhole Surgical Technique ®.

After hearing his options Mark decided to have the Pinhole Surgical Technique ® used on him and was surprised by how little pain he had afterwards. We were both pleased with the results, giving the teeth more stability and also decreasing the sensitivity he was having beforehand. And last but not least, Mark was thrilled by the new esthetic appearance of his teeth.

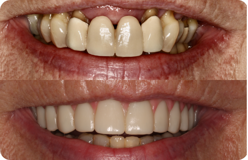
Jack presented to our office embarrassed about his smile and also frustrated with not being able to eat what he wanted to. He was interested in seeing how dental implants could help with his problems and wanted to avoid a removable denture at all costs. After finishing our exam with him, it was determined he had several missing teeth as well as deep cavities on the remaining teeth on his upper jaw.

We explained his options to him and that he would be a perfect candidate for dental implants. We both decided to give him a fixed implant bridge that is the best modern replacement for someone missing all of their teeth. Jack was excited to hear that this would stay in his mouth and he would not have to take a denture in and out every day. We were able to take out his teeth, place the implants, and give him a temporary bridge all in the same day, and after a few months of healing he received his final bridge. Jack was thoroughly pleased with the final result and so were we!

Kathy presented to our office self-conscious about her smile and scared that her teeth were going to fall out at the worst time one day. She was interested in learning about dental implants and how they could help with her problems. She also had heard horror stories from her friends using removable dentures and having to use the glue to keep them in. After finishing our exam with her, it was determined she had severe gum disease on her upper teeth that were not saveable.

We explained her options to her and that she would be a good fit for dental implants. We both decided to give her a fixed implant bridge that is the best modern replacement for someone missing all of their teeth. Kathy was excited to hear that this would stay in her mouth and he would not have to take a denture in and out every day. We were able to take out her teeth, place the implants, and give her a temporary bridge all in the same day, and after a few months of healing she received her final bridge. Kathy was ecstatic with the final result and so were we!

Offices in Ormond Beach, Daytona Beach, and Palm Coast.

Conveniently located in Central Florida with award winning periodontists. We help seniors, adults, and teenagers smile with confidence.